SAPE ERROR: FATAL ERROR: bad user
В Америке, в городе Портленд, штат Мэн, умерла девочка, страдавшая редчайшим заболеванием — так называемым синдромом русалки, или сиреномелией.

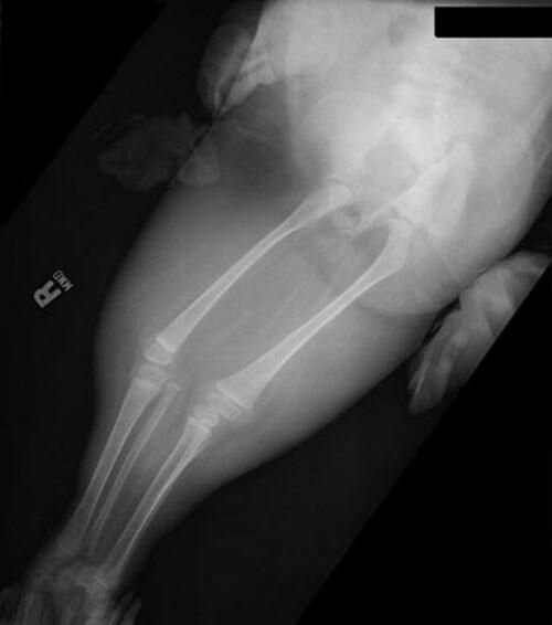
Как передает агентство Associated Press, Шайло Пепин дожила до десяти лет, хотя, когда девочка родилась, медики говорили, что она не протянет и нескольких дней. И небезосновательно: у ребенка была лишь одна почка, работавшая частично, отсутствовали нижняя часть кишечника и половые органы, а ноги были сросшимися и напоминали рыбий хвост.

Причем, были случаи, когда детям, больным сиреномелией или похожими заболеваниями, успешно делали операции по разделению ног. Но случай с Шайло иной: её ноги пересекали крупные кровеносные сосуды, и доктора побоялись разделять их. Девочка, однако, перенесла две операции по пересадке почки, последнюю ей делали в 2007 году.

Неудивительно, что ребенок практически с самого рождения стал медиасенсацией, о «русалке» неоднократно писали газеты, рассказывали телеканалы и интернет. Недавно Шайло стала главной героиней знаменитого шоу Опры Уинфри и других программ, выходящих на национальных каналах.
Умерла девочка от пневмонии. Её мать, Лесли Пепин, рассказала о том, что все началось с банальной простуды: в начале октября Шайло простудилась, но болезнь быстро начала прогрессировать, и 10 октября девочка была помещена в Медицинский центр Портленда на усиленное лечение антибиотиками. Однако спасти ребенка не удалось.

Говорят, что пятиклассница Шайло прекрасно училась и для многих была примером. Морин Кинг, председатель комиссии по региональному школьному округу, сказала: «Она была яркой личностью». Благодаря тому, что о девочке постоянно говорили с телеэкранов и в интернете, газеты публиковали о ней статьи, люди узнали о мужественности и неординарности этого ребенка, и многим её пример помогал справляться с проблемами, вдохновлял на работу над собой и дарил уверенность. Одной из таких стала 12-летняя Лидия Доули, оставившая сообщение на личной странице Шайло на Facebook: «Я живу в Айове. У меня церебральный паралич. Ты очень сильная личность, и мне бы ужасно хотелось, чтобы ты жила поближе ко мне, тогда мы могли бы стать подругами и общаться. Ты и твоя храбрость помогли мне посмотреть на мир другими глазами».

Сиреномелия (от греч. seiren — сирена, обольстительница, сказочный персонал, и melos — часть тела, конечность) — аномалия развития в форме сращения ног, отсутствия наружных половых органов, неперфорированного ануса и т.?д. Встречается достаточно редко — примерно 1 на 70 тысяч родов, однако подавляющее большинство детей умирает в возрасте от нескольких дней до нескольких месяцев. В настоящее время в мире известны два случая спасения детей с синдромом русалки. Это американка Тифани Йоркс, успешно перенесшая операцию по разделению ног 17 лет назад, и трехлетняя перуанская девочка Милагроз Керрон, последняя операция которой была проведена летом 2006 года. История Шайло уникальна тем, что девочка смогла дожить до такого в данном случае действительно серьезного возраста в своем «первозданном» виде. И самое главное, что все это время она не просто существовала, а училась, общалась и подавала людям пример того, как можно радоваться жизни несмотря ни на что.


Редактор сайта
Красивая девушка, умница, спортсменка, любит юмор и добрые пранки















