Опубликовано: 14.06.2021
Автор: Ольга Светлова
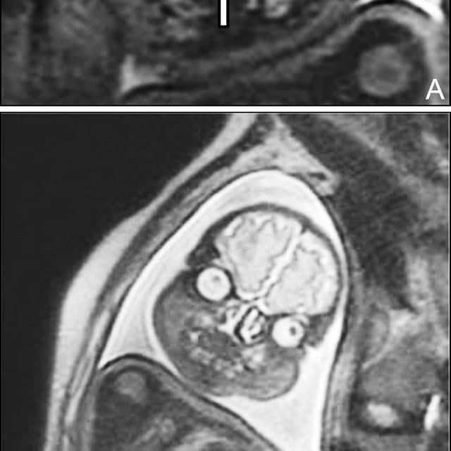
Всегда подмечал в голливудских фильмах такое клише: беременной девушке делают УЗИ, а потом показывают матери и отцу эмбриончик, после чего все начинают умиляться, охать и обниматься, несмотря на то, что на экране по сути ничего не видно. В которой раз можно убедиться в том, что в мелодрамах правды нет. Это подтверждают жуткие МРТ-снимки беременной женщины из реальной жизни. Честно скажу, мне это сегодня приснится. Впечатлительным я бы рекомендовал не смотреть.



Редактор сайта
Красивая девушка, умница, спортсменка, любит юмор и добрые пранки
ПОДЕЛИТЕСЬ ЭТОЙ НОВОСТЬЮ С ДРУЗЬЯМИ:
ПОХОЖИЕ СТАТЬИ НА НАШЕМ САЙТЕ:

Дети
Одна американская семья решила отметить первый день рождения своего сына – казалось бы, чего необычного Но дело в том, что…

Дети
Мальчики, которые в своем юном возрасте успели совершить не по годам взрослые поступки. Алексей Мартыненко, 11 лет Пожар в детском…

Новости
Футболист прилюдно «строит» жену и показывает ей «свое» место. То каким сейчас представляет себя окружающим Дмитрий Тарасов удивляет многих. Честно…

Фото
Маленькая австралийка — настоящая королева бюджетных костюмов, которые она собирает из всего, что подвернётся под руку. Картина, корзина, картонка —…

Фото
С появлением программы для обработки фотографий, все стали себя ретушировать, делать лучше и пытаться украшать действительность. Правда, многие не понимают…

Фото
На днях в Сети появился агитационный ролик, призывающий прийти на голосование по поправкам в Конституцию – в нем снялись Яна…

Мемы
Подборка новых мемов и прикольных картинок для поднятия хорошего настроения на весь день и все выходные. Прикольные мемы и картинки…

Новости
В Краснодаре между охранниками аквапарка “Санторини” и многодетной семьей завязалась драка. Как рассказала дна из пострадавших Галина Кибец, она вместе…

Дети
Любая будущая мама с нетерпением ждёт УЗИ, чтобы увидеть своего малыша в животике. Но порой этот момент могут омрачить определённое…

Фото
Недаром существует выражение: “Истина глаголет устами младенца”. Спору нет, что детки действительно смотрят на мир не так, как взрослые. А…

Фото
Казалось бы, стирка – что может быть проще? Закинул вещи, насыпал порошок и нажал пару кнопок – готово! Но у…

Фото
В мире существует огромное количество самых разных раздражающих вещей. И порой стресс накапливается так, что хоть на демонстрацию собирайся. Собственно,…

Новости
Канал рискует закрытием рейтингового проекта после шутки «Прямая линия с мэром» на ТНТ. Развлекательный канал ТНТ «опростоволосился» перед самым главным….

Демотиваторы
Друзья, мы публикуем для Вас новую подборку пошлых демок, которая сегодня называется Пошлые демотиваторы про женщин. Смотрите и наслаждайтесь! Демотиваторы про…

Фото
Сегодня уже, наконец, пятница, поэтому подборка свежего юмора из социальных сетей будет как раз в тему. Думаю, некоторые картинки из…

Фото
Хочется выучить иностранный язык, но никак не решить, какой? Вроде и без знания английского нынче никуда, и ходят слухи, что…